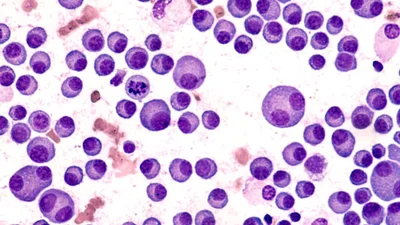
В раннем клиническом исследовании в Dana-Farber Cancer Institute 20 пациентов с высоким риском развития сморщенной миеломы получили CAR-T терапию Carvykti. У всех участников не было обнаружено миеломных клеток после лечения, что значительно превосходит результаты существующих методов, таких как Дарзалекс. Это открывает перспективы не только замедления, но и предотвращения развития активной миеломы. Ученые обсуждают возможность пересмотра целей лечения и даже надежду на излечение.
CAR-T терапия останавливает миелому
Источники (2)
More from Здоровье • Медицина
-
Прорыв в лечении постковида близок
Для миллионов людей, страдающих от постковида, на горизонте появился важный прорыв в лечении. В Великобритании учёные, включая профессора Марка Фагхи, испытывают противовирусные препараты и лекарства для снижения веса, которые показывают обнадёживающие результаты. Это может значительно улучшить качество жизни пациентов с долгосрочными симптомами, такими как усталость и головокружение. Ожидается, что полные результаты исследований будут опубликованы уже весной.
-
Рост смертности от рака крови в Новой Зеландии
Организация Blood Cancer New Zealand предупреждает о росте смертности от рака крови в стране почти на 40% с 2008 года. Отмечается, что Новая Зеландия отстает от международных стандартов лечения, в частности, многие современные методы терапии, доступные в Австралии, здесь недоступны. При более чем 27 тысячах больных и 3000 новых диагнозах в год эксперты призывают создать национальную комиссию для координации усилий по улучшению диагностики, лечения и кадрового обеспечения.
-
Мобильную клинику Папы не пустили в Газу
Мобильная медицинская клиника, размещённая в попемобиле Папы Франциска, была запрещена к въезду в Газу, что вновь подчёркивает проблемы с доступом к гуманитарной помощи в регионе. Это произошло спустя год после смерти Папы, демонстрируя сохраняющиеся препятствия для медицинской помощи. Запрет вызывает серьёзные вопросы о возможности доставки помощи в условиях конфликта. Сейчас наблюдатели внимательно следят за дипломатическими усилиями по разрешению ситуации.
-
Южная Африка объявляет диабет кризисом
Гражданские организации Южной Африки объявили диабет национальным кризисом здравоохранения из-за резкого роста смертности: ежедневно от осложнений умирают около 27 человек. В Йоханнесбургской декларации призывают правительство выделить финансирование и создать национальный реестр диабета к 2027 году. Эксперты предупреждают, что без решения проблемы диабета под угрозой оказываются национальные планы развития и справедливость в здравоохранении.
-
806 млн долларов на спасение матерей и детей
Глобальный фонд финансирования женщин, детей и подростков (GFF) привлек 806 миллионов долларов на борьбу с предотвратимыми смертями матерей и детей. Это более 80% от цели в 1 миллиард долларов к 2026 году, направленных на расширение доступа к жизненно важным медицинским услугам в 50 странах с высокой нагрузкой. Финансирование поддержали правительства и благотворительные организации, включая Фонд Гейтса. Благодаря этим инвестициям GFF ускорит внедрение эффективных программ, что особенно важно для стран с высокими показателями материнской смертности, таких как Нигерия.
-
Глава стратегии Pfizer покидает компанию
Эндрю Баум, бывший банкир и исполнительный вице-президент Pfizer по стратегии и инновациям, покинул свой пост спустя менее двух лет после прихода в компанию. В Pfizer объяснили уход желанием оптимизировать работу и ускорить принятие решений. Баум останется советником генерального директора Альберта Бурлы до конца 2026 года. Этот шаг вызывает вопросы о дальнейшем курсе развития фармгиганта.
-
Новый метод фильтрации крови спасает при сепсисе
Ученые разработали инновационный способ лечения сепсиса, удаляя из плазмы крови белок галектин-3, который способствует тяжелому течению болезни. Испытания на крысах и мини-свиньях показали значительное повышение выживаемости — с 25% до 57% и с 27% до 69% соответственно. Сепсис ежегодно уносит миллионы жизней, и этот метод может стать прорывом в терапии. В 2027 году планируется начать клинические испытания на людях.
-
Обнаружен ген сильной беременности тошноты
Учёные выявили ген GDF15 как главную причину гиперемезиса гравидарум — тяжёлой формы тошноты и рвоты при беременности, которая затрагивает до 10,8% женщин. Это крупнейшее генетическое исследование с участием почти 11 тысяч пациентов открывает путь к разработке целевых лекарств для болезни, не имеющей одобренных FDA препаратов. Также обнаружены гены, связанные с риском диабета, что расширяет возможности терапии. Летом планируется клиническое испытание метформина для снижения симптомов.
-
Витамин B7 выявил слабость рака
Исследователи из Лозаннского университета обнаружили, что опухолевые клетки прекращают рост при дефиците витамина B7, который необходим для работы митохондриального фермента пируваткарбоксилазы. Это объясняет, почему некоторые виды рака устойчивы к блокированию глутамина и выявляет уязвимость, связанную с мутациями гена FBXW7. Открытие открывает новые перспективы для разработки комплексных методов лечения, направленных на метаболическую гибкость опухолей.








